Winzige Nerven, große Wirkung: Depressionen und Schmerzen über das Ohr bekämpfen?
Depressionen, Schlafstörungen, Schmerzen – Millionen Menschen leiden unter langwierigen medizinischen Problemen. Forschende der Hochschule Fresenius und der Universität Düsseldorf arbeiten an einer ungewöhnlichen Lösung. Ausgerechnet das Ohr wird dabei wichtig. Die Hintergründe erklärt Prof. Dr. Elmar Peuker.
Mehr als 17 Prozent der Deutschen leiden laut Erhebungen der Deutschen Schmerzgesellschaft an chronischen Schmerzen, etwa 12,5 Prozent an depressiven Störungen (AOK). Für viele beginnt damit ein zermürbender Weg zwischen Diagnosen und Therapieversuchen. Oft ohne echten Durchbruch: Symptome kehren zurück, Nebenwirkungen bleiben. Ein Forschungsteam um Prof. Dr. Elmar Peuker von der Hochschule Fresenius und Prof. Dr. Timm Filler von der Universität Düsseldorf setzt auf einen ungewöhnlichen Ansatz. Genauer: auf das Ohr.
So wird das Ohr zum Therapieansatz
Im Fokus der Forschenden steht der Vagusnerv. Er ist einer der wichtigsten Kommunikationswege zwischen Gehirn und Organen. Neben der Atmung und dem Herzschlag beeinflusst er die Schmerz- und Stressregulation des Körpers.
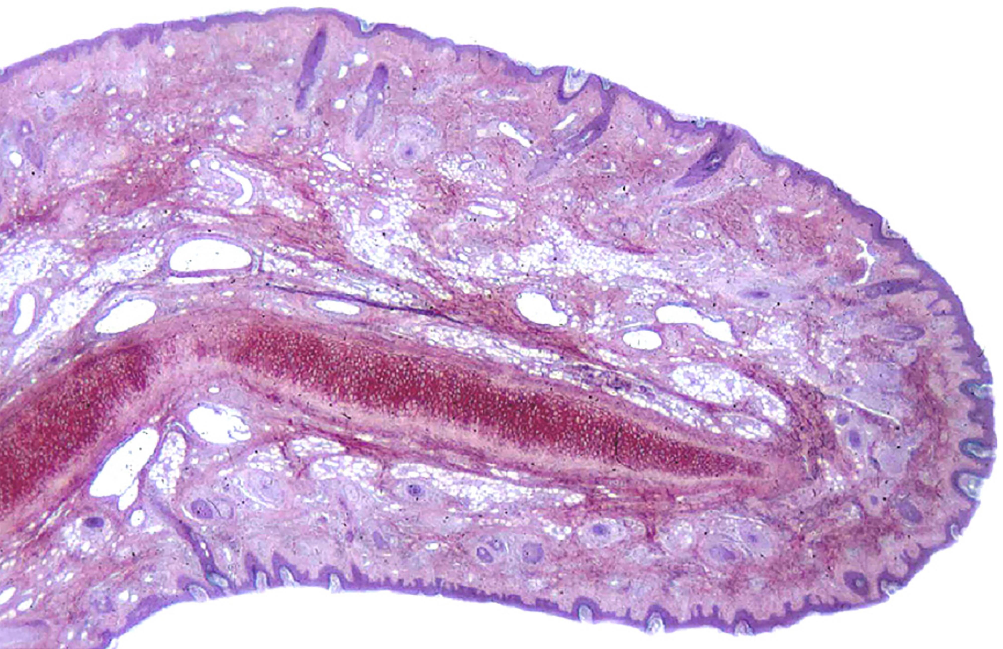
Ein feiner Ast dieses mächtigen Nervs verläuft durch die Ohrmuschel. Genau dort setzen die Forschenden momentan an und analysieren winzige Nervenfasern im Ohrgewebe.
„Wir wollen verstehen, welche Nervenfasern im Ohr wirklich zum Vagusnerv gehören, wie und wo sie verteilt sind und wie wir sie gezielt stimulieren können”, sagt Prof. Dr. Elmar Peuker. Dazu nutzt sein Team spezielle immunhistochemische Färbetechniken. Mit ihnen lassen sich einzelne Nerven im Ohr detailliert darstellen und sich entwickelnde Therapietechniken dadurch etablieren und optimieren.
Altes Wissen, neu gedacht
Wie sonderbar dieser Ansatz klingt – in der Medizingeschichte ist er tief verwurzelt. In der Ohrakupunktur werden durch Reizungen vagusinnervierter Areale an der Ohrmuschel seit langem teils sehr gute Effekte in der Schmerztherapie erzielt. Ebenso nutzt die Osteopathie diesen Zugang zur Behandlung.
Neu ist der präzise Blick der Forschenden auf die Nervenfasern und wie ein untypisches Hilfsmittel die Neuroanatomie des Vagusnervs stimulieren könnte. Es geht um eine Art In-Ear-Kopfhörer.
Kopfhörer, die heilen sollen
Bereits 2001 legte das heutige Forschungsteam eine vielbeachtete Studie zur Ohrnervenstruktur vor. Sie zählt mittlerweile zu den meistzitierten anatomischen Arbeiten der vergangenen 50 Jahre. Nun setzen die Forschenden erneut an und wollen sich über die Grundlagenforschung auch an der Entwicklung medizinischer Hilfsmittel beteiligen.
Für Prof. Dr. Elmar Peuker ist das keine Science Fiction, sondern eine in Ansätzen bereits realistische Behandlungsmöglichkeit. Er sagt: „Wir wollen die wissenschaftliche Basis für Therapiegeräte verbessern – und dabei gezielt den Vagusnerv ansprechen. Mit kopfhörerähnlichen In-Ear-Geräten, die möglichst gezielte Stimulierungen relevanter Nervenstrukturen im Ohr ermöglichen.”
Pressekontakt: Mario Langenscheid
mario.langenscheid@crf-education.com
0221/92151240
Über die Hochschule Fresenius
Die Hochschule Fresenius gehört zu den renommiertesten privaten Hochschulen Deutschlands. Mit einer Bildungstradition von 175 Jahren bietet sie mehr als 150 Bachelor- und Masterstudiengänge sowie Aus- und Weiterbildungen an. In den Fachbereichen Chemie & Biologie, Design, Gesundheit & Soziales, Wirtschaft & Medien und in der Fernlehre sind rund 19.000 Studierende eingeschrieben. Die Hochschule legt großen Wert auf die enge Verzahnung von Lehre, Forschung und Praxis. Dafür werden zeitgemäße Studiengänge zusammen mit Partnern aus Wirtschaft und Gesellschaft entwickelt. Die Hochschule Fresenius gehört zur Carl Remigius Fresenius Education Group, einer der größten privaten und unabhängigen Bildungsgruppen in Deutschland. Weitere Informationen: https://www.hs-fresenius.de.
Originalpublikation:
Elmar T Peuker , Timm J Filler, The nerve supply of the human auricle.
Clin Anat . 2002 Jan;15(1):35-7.
https://doi.org/10.1002/ca.1089
Die semantisch ähnlichsten Pressemitteilungen im idw