Detecting and treating diseased heart muscles as effectively as possible
A multicenter study coordinated by the University Hospital Bonn (UKB) involving 26 European centers provides new insights into the course of the disease, prognosis assessment, and risk factors for severe myocarditis. The results have now been published in the renowned European Heart Journal.
The human heart is a hollow muscle that pumps around 8,000 liters of blood through the body every day. When the heart muscle, known as the myocardium, becomes inflamed, this is referred to as myocarditis. It can severely impair the heart's function, particularly its ability to pump blood effectively through the body. In about 30 percent of cases, this complex inflammation takes a severe clinical course and is fatal. This severe form of myocarditis is also called "fulminant myocarditis" and is characterized by reduced heart pump function and resulting life-threatening circulatory failure, and in some cases even cardiac arrest.
Optimal treatment requires not only intensive cardiological support for heart function, but also differentiated treatment of the triggering factors. However, the diagnostic approach to fulminant myocarditis and the optimal combination of appropriate therapies have not yet been sufficiently researched. Little is known about the long-term course and risk factors for mortality.
This is precisely where the international multicenter study coordinated by the UKB with 26 European centers comes in. With one of the world's largest cohorts for fulminant myocarditis to date, the study led by Prof. Dr. Dr. med. Enzo Lüsebrink from the Heart Center at the UKB is providing new insights into the course of the disease, prognosis assessment, and risk factors for this serious condition. A total of 271 patients were included in the study.
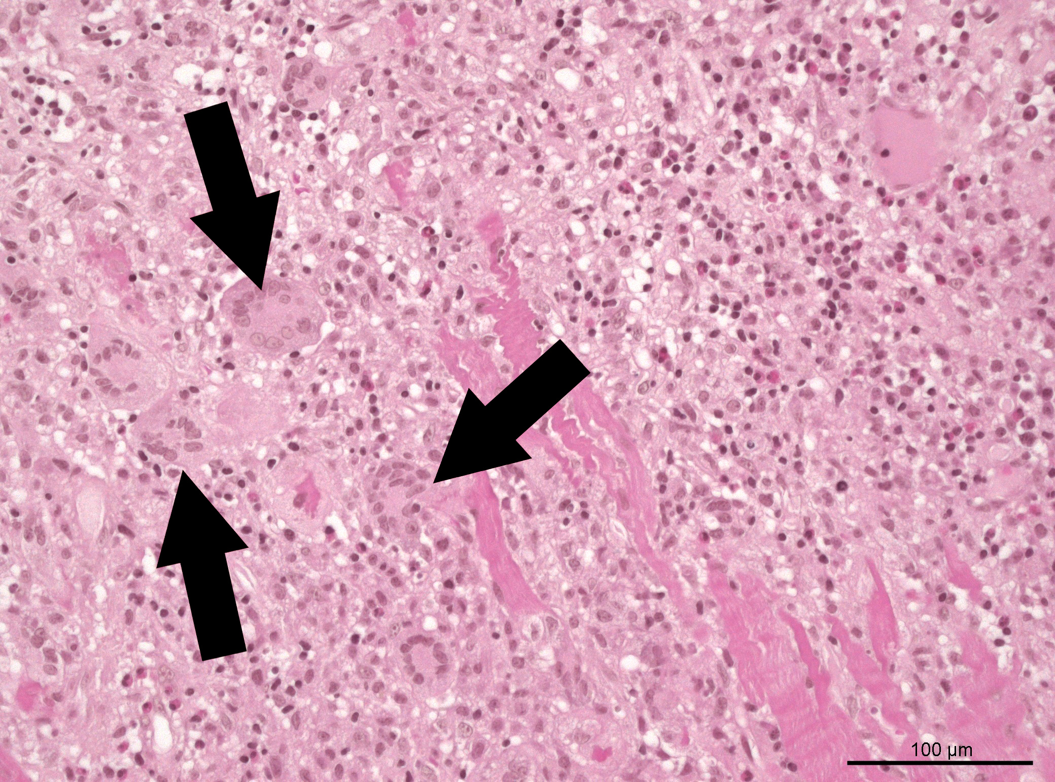
An important initial finding of the study is that patients with so-called giant cell myocarditis – a special form of the disease named after the very large cells found in tissue samples – have a significantly higher mortality rate (50 percent) as other subgroups (approximately 30 percent). These data point to the great importance of early tissue sampling for sample collection as a central aspect of the diagnosis of fulminant myocarditis.
In addition, age and the pH value measured at the onset were identified as independent risk factors for hospital mortality, which can provide valuable information for prognosis in clinical practice. The use of modern, complex circulatory support procedures could thus become even more targeted.
A third key finding from the study is the data on long-term outcomes. Among those who survived until discharge, there were hardly any further deaths in the following years, and the initially severely reduced cardiac output recovered. Neurological function was also assessed as good in the majority of survivors. Overall, the long-term prognosis after survival of the acute phase can therefore be considered very good.
For the authors, the conclusions from the study are clear: "The long-term results for patients who survive discharge are excellent. This is precisely why we need to identify high-risk patients quickly and optimize treatment strategies. Age, pH value, and tissue samples can serve as prognostic markers," explains study leader Lüsebrink.
"Early endomyocardial biopsy should be the goal in cases of clinically suspected fulminant myocarditis, as the histopathological findings play a decisive role in management and prognosis," adds Prof. Dr. Georg Nickenig, cardiologist and director of the UKB Heart Center. "This will enable us to improve therapeutic concepts and thus also treatment outcomes for all patients with fulminant myocarditis in the long term."
Participating institutions and funding:
In addition to the UKB, the Leipzig Heart Center and the Jena University Hospital were significantly involved in the study, along with 23 other centers in Europe.
Publication: Nicolas Majunke, Franz Haertel et al.: Outcomes and risk factors associated with mortality in patients suffering from fulminant myocarditis: Results from an international pragmatic cohort study; European Heart Journal; DOI: https://doi.org/10.1093/eurheartj/ehaf671
Press contact:
Felix Heyder
Press Officer, Heart Center at the University Hospital Bonn
Phone:
Email: felix.heyder@ukbonn.de
About the University Hospital Bonn: As one of Germany’s leading university hospitals, Bonn University Hospital (UKB) combines excellence in medical care and research with high-quality teaching. Every year, UKB treats more than half a million outpatients and inpatients. Around 3,500 students are enrolled in medicine and dentistry, and over 600 individuals receive training in healthcare professions annually. With around 9,900 employees, UKB is the third-largest employer in the Bonn/Rhein-Sieg region. In the „Focus hospital rankings“, UKB is rated the top university hospital in North Rhine-Westphalia and has the second-highest case mix index (an indicator of treatment complexity) of all university hospitals nationwide. In 2024, UKB secured nearly €100 million in third-party funding for research, development, and teaching. For the fourth consecutive year, the F.A.Z. Institute recognized UKB as both “Germany’s Training Champion” and “Germany’s Most Desirable Employer.” For current figures and further information, please refer to the annual report at: geschaeftsbericht.ukbonn.de.
Wissenschaftlicher Ansprechpartner:
Scientific contact:
Prof. Dr. Dr. Enzo Lüsebrink
Cardiologist at the Heart Center at Bonn University Hospital
Email: enzo.luesebrink@ukbonn.de
Originalpublikation:
Nicolas Majunke, Franz Haertel et al.: Outcomes and risk factors associated with mortality in patients suffering from fulminant myocarditis: Results from an international pragmatic cohort study; European Heart Journal; DOI: 10.1093/eurheartj/ehaf671
Weitere Informationen:
https://doi.org/10.1093/eurheartj/ehaf671 Publication
Ähnliche Pressemitteilungen im idw