Cystinstoffwechsel vielversprechendes therapeutisches Ziel zur Förderung der Gefäßregeneration
Aufnahme und oxidativer Abbau von Cystin im Zellkern treiben das Wachstum und die Reparatur von Gefäßen über eine nährstoffabhängige Acetylierung von Histonen voran
Herz-Kreislauf-Erkrankungen wie Herzinfarkt, Schlaganfall, Diabetes und Bluthochdruck sind die häufigste Todesursache in Deutschland. Blutgefäße spielen bei der Entwicklung dieser und weiterer Erkrankungen eine wesentliche Rolle. Insbesondere die die Gefäße auskleidenden Endothelzellen haben als sogenannte Gatekeeper eine zentrale Bedeutung für die menschliche Gesundheit. Der Endothelstoffwechsel ist die Grundlage für Geweberegeneration, Gesundheit und Langlebigkeit.
Die Abteilung für Vaskuläre Dysfunktion an der Medizinischen Fakultät Mannheim der Universität Heidelberg erforscht unter der Leitung von Professor Dr. Sofia-Iris Bibli die molekularen Mechanismen, die das Wachstum, die Regeneration, die Rückbildung und die Alterung von Blut- und Lymphgefäßen steuern. In ihrer aktuellen Arbeit haben die Wissenschaftler:innen einen bisher unbekannten oxidativen Stoffwechselweg im Zellkern identifiziert, über den Epithelzellen das Gefäßwachstum steuern. Er verknüpft Cystin mit der epigenetischen Genregulation und eröffnet neue therapeutische Perspektiven für die Reparatur von Gefäßschäden. Die Arbeit ist im renommierten Journal Cell Metabolism publiziert*.
Cystin besteht aus zwei Molekülen der schwefelhaltigen Aminosäure Cystein, die durch eine Disulfidbrücke miteinander verbunden sind. Es ist in vielen proteinreichen Lebensmitteln enthalten, darunter Getreide, Nüsse, Fleisch, Fisch, Milchprodukte und Eier. In ihrer Studie zeigen die Wissenschaftler:innen, dass über die Nahrung zugeführtes Cystin im Zellkern oxidativ abgebaut wird und entscheidend für das Gefäßwachstum und die Regeneration von geschädigten Gefäßen ist, obwohl Cystein zu den nicht-essentiellen Aminosäuren gehört, da es vom Körper selbst synthetisiert werden kann.
Der neu identifizierte, nährstoffabhängige Kontrollmechanismus nimmt allerdings mit der Alterung ab. Er lässt sich aber wiederbeleben: Eine gezielte ergänzende Aufnahme von Cystin stellt das Gefäßwachstum bei Verletzungen, Krankheiten und bei Alterung wieder her. Die Supplementierung von Cystin fördert die Gefäßreparatur bei der Retinopathie von Frühgeborenen, nach Myokardinfarkt sowie bei Verletzungen im Alter.
„Wir haben gezeigt, dass Endothelzellen bereits vor der aktiven Proliferation entscheiden, wie sie ihre Nährstoffaufnahme und -verwertung umstellen“, sagt Sofia-Iris Bibli. „Die therapeutischen Effekte belegen die Rolle des oxidativen Cystin-Katabolismus im Zellkern als grundlegende metabolische Achse, die Nährstoffverwertung und Genregulation verknüpft – mit weitreichenden Implikationen für die Gefäßregeneration.“
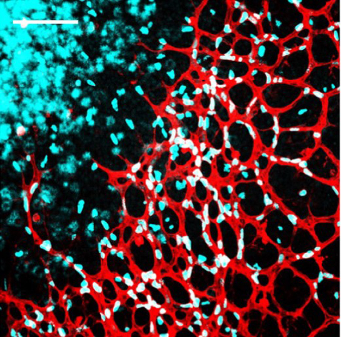
Die Wissenschaftlerinnen konnten den epigenetischen Mechanismus aufklären: Über einen sogenannten Solute-Carrier(SLC)-Transporter steuern Endothelzellen, die sich auf die Proliferation vorbereiten, aktiv den Cystin-Import in die Zelle. Dort bildet Cystin einen Komplex mit Cystathionin-Gamma-Lyase (CSE) und Pyruvatdehydrogenase und wird im Zellkern durch CSE oxidativ abgebaut. Es konnte gezeigt werden, dass Cystin selbst über den oxidativen Abbau zu Pyruvat die Produktion von Acetylgruppen im Zellkern antreibt, die spezifisch Histon H3 acetylieren. Die Chromatinstruktur wird dadurch gelockert und der endothelialen Transkription zugängig gemacht, was zu Proliferation und Gefäßwachstum führt.
Die Studie umfasste eine klinische Kohorte, mehrere in vivo Maus Modelle, Zellkultur-Ansätze mit gezielter Genmodulation sowie umfangreiche funktionelle Gefäß-Analysen.
Wissenschaftlicher Ansprechpartner:
Prof. Dr. Sofia-Iris Bibli (Bimpli)
Head of Vascular Dysfunction Department
European Center for Angioscience
Medical Faculty Mannheim
Heidelberg University
Ludolf-Krehl- Straße 13-17
68167 Mannheim
Iris.Bibli@medma.uni-heidelberg.de
Originalpublikation:
Drekolia et al.,
Cystine import and oxidative catabolism fuel vascular growth and repair via nutrient-responsive histone acetylation
Cell Metabolism (2025)
https://doi.org/10.1016/j.cmet.2025.10.003
Die semantisch ähnlichsten Pressemitteilungen im idw