Unravelling the evolution of leukemia in children with Down Syndrome
Children with Down syndrome are at high risk of developing myeloid leukemia. A research team from Goethe University Frankfurt, Wellcome Sanger Institute, Great Ormond Street Hospital, and their cooperation partners has discovered how individual cells of the affected children’s blood-forming system change in such a way that leukemia develops via a pre-cancerous stage. In this way, the researchers identified the genetic programs involved and found a potential therapeutic target in myeloid leukemia in children with Down syndrome.
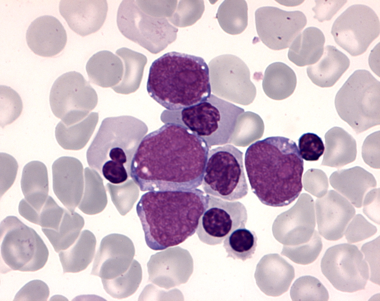
FRANKFURT. Children with Down syndrome have a 150-fold increased risk of developing myeloid leukemia (ML-DS). This is because 15 to 30 percent of children with Down syndrome develop a transient disorder of the blood-forming system as newborns, known as transient myeloproliferative syndrome (TAM). In its acute phase, TAM is virtually indistinguishable from ML-DS: in both conditions, precursor cells of white blood cells, or leukocytes, proliferate uncontrolled in the bone marrow. As a result, they replace normal blood-forming cells, which can lead to anemia, impaired defense against infections, and an increased tendency to bleed. Unlike the cancer ML-DS, however, TAM regresses spontaneously. Because the two conditions are difficult to distinguish from one another, patients with TAM often also receive cancer treatment.
At the same time, TAM represents a precursor stage of ML-DS: If, in addition to the mutation in a protein called GATA1 that triggers TAM, further mutations in other proteins occur in the following years of life, children with Down syndrome develop myeloid leukemia. A research team led by Professor Jan-Henning Klusmann of Goethe University Frankfurt, Professor Jack Bartram of Great Ormond Street Hospital in London, and Professor Sam Behjati of Wellcome Sanger Institute in Hinxton, UK, has now for the first time traced the individual molecular steps of this cancer development.
To do so, the team analyzed leukemia samples from young patients suffering from TAM or ML-DS of different types and stages. The researchers used a method that makes it possible to determine which genes are active in individual TAM or cancer cells, known as single-cell mRNA sequencing. In addition, they screened the genetic material (genome) of these cells for mutations. They focused in particular on the GATA1 protein, whose mutation triggers TAM. GATA1 is a type of switch protein (a transcription factor) that orchestrates the normal development of blood cells, and whose malfunction in TAM and ML-DS cells contributes to rapid and uncontrolled growth.
The result: Depending on the developmental stage of TAM and ML-DS cells, different genes are active that contribute to the disease phenotype. Different mutations are also responsible for varying degrees of severity or stages of the two diseases. In contrast, the gene activity patterns attributable to the GATA1 mutation were similar in all TAM and ML-DS cells.
Professor Jan-Henning Klusmann explains: “Because the effects of the mutated GATA1 were not overshadowed by the consequences of other mutations, the GATA1 mutation appears to be central to these diseases. GATA1 could therefore be a target for future ML-DS therapies.”
Another finding: Differences were observed in the gene activity patterns of cells from classic TAM, which regresses spontaneously within a few weeks or months, and recurrent TAM, which occurs twice in succession. The gene activity patterns of recurrent TAM were similar to those of ML-DS. The research team therefore concludes that such gene activity patterns could potentially serve in the future as biomarkers to predict the risk of developing ML-DS.
Professor Jack Bartram, co-senior author at Great Ormond Street Hospital, said: “This is the first time that it has been possible to investigate the full evolution of pre-cancer to cancer cells in the context of ML-DS. Rare cancers impact the lives of children and families around the world, and research is the only way that we will find answers that can help inform new approaches and treatments.”
Professor Jan-Henning Klusmann, co-senior author at Goethe University Frankfurt, said: “While it has been previously known that there is an increased risk of myeloid leukaemia in children with Down syndrome, the underlying genetic programs were obscure. While further investigation is needed before this can have clinical implications, our research has shown that it is possible to identify which pre-cancerous cells develop into myeloid leukaemia in children with Down syndrome by looking at the genomic data.”
Professor Sam Behjati, co-senior author at Wellcome Sanger Institute, said: “Cancer can impact all our lives, and to fully understand all the different subtypes, no matter how rare, we must work together to build our collective knowledge. This international collaboration gives a broader understanding of human cancer, and how different genetic changes must be studied together to gain the full picture of how they interact and cause conditions such as myeloid leukaemia of Down’s syndrome.”
Wissenschaftlicher Ansprechpartner:
Professor Jan-Henning Klusmann
Director Department of Pediatrics
Universitätsmedizin Frankfurt / Goethe University Frankfurt
Tel: +49 (0)69 6301-5094
klusmann@em.uni-frankfurt.de
www.leukemia-research.de
Originalpublikation:
Mi K. Trinh, Konstantin Schuschel, Hasan Issa, Rebecca Thomas, Conor Parks, Agnes Oszlanczi, Toochi Ogbonnah, Di Zhou, Lira Mamanova, Elena Prigmore, Emilia Robertson, Angus Hodder, Anna Wenger, Nathaniel D. Anderson, Holly J. Whitfield, Taryn D. Treger, José Gonçalves-Dias, Karin Straathof, David O'Connor, Matthew D. Young, Laura Jardine, Stuart Adams, Jan-Henning Klusmann, Jack Bartram, Sam Behjati: Single cell transcriptional evolution of myeloid leukaemia of Down syndrome. Nature Communications (2026), https://doi.org/10.1038/s41467-026-71707-2
Ähnliche Pressemitteilungen im idw